| Target | |
|---|---|
| Synonyms | p32; HABP1; gC1qR; GC1QBP; SF2p32; gC1Q-R; COXPD33; SF2AP32 |
| Description | Recombinant human C1QBP Protein with C-terminal 6×His tag |
| Delivery | In Stock |
| Uniprot ID | Q07021 |
| Expression Host | HEK293 |
| Tag | C-6×His tag |
| Molecular Characterization | C1QBP(Leu74-Gln282) 6×His tag |
| Molecular Weight | The protein has a predicted molecular mass of 24.6 kDa after removal of the signal peptide. |
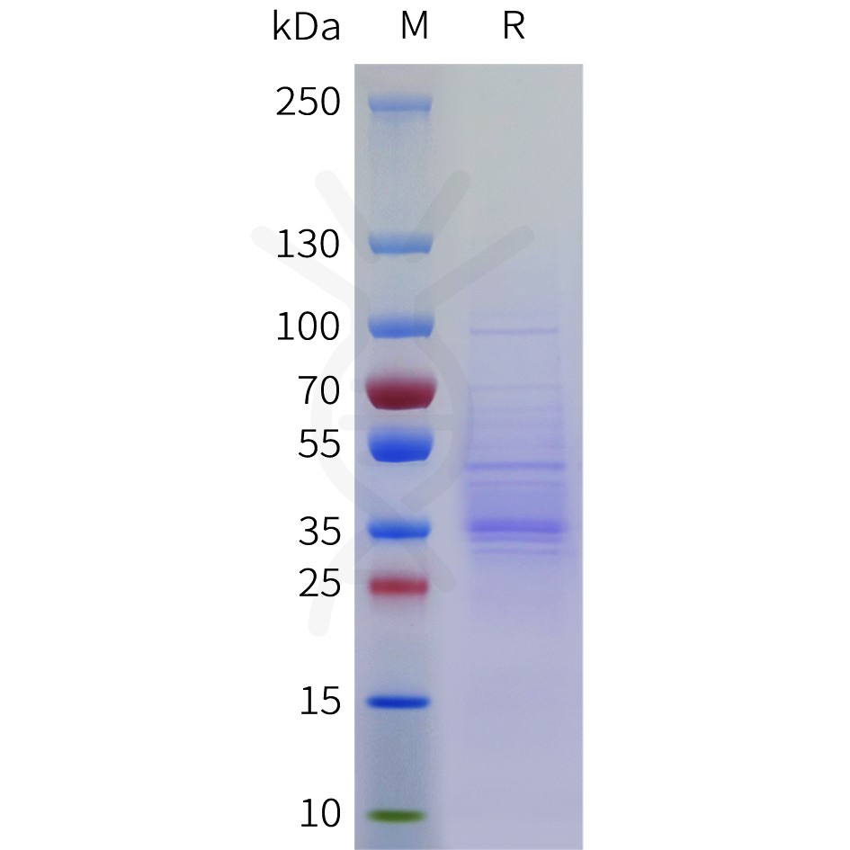
| Purity | The purity of the protein is greater than 85% as determined by SDS-PAGE and Coomassie blue staining. |
| Formulation & Reconstitution | Lyophilized from sterile PBS, pH 7.4. Normally 5 % – 8% trehalose is added as protectants before lyophilization. Please see Certificate of Analysis for specific instructions of reconstitution. |
| Storage&Shipping | Store at -20°C to -80°C for 12 months in lyophilized form. After reconstitution, if not intended for use within a month, aliquot and store at -80°C (Avoid repeated freezing and thawing). Lyophilized proteins are shipped at ambient temperature. |
| Sterility | Products are supplied non-sterile. For cell culture applications, dilute in appropriate medium and sterile-filter (0.22 µm) prior to use. |
| Background | The human complement subcomponent C1q associates with C1r and C1s in order to yield the first component of the serum complement system. The protein encoded by this gene is known to bind to the globular heads of C1q molecules and inhibit C1 activation. This protein has also been identified as the p32 subunit of pre-mRNA splicing factor SF2, as well as a hyaluronic acid-binding protein. [provided by RefSeq, Jul 2008] |
| Usage | Research use only |
| Conjugate | Unconjugated |
服务热线
400-006-0995
18062749453



