PeptiNanodisc-膜蛋白相关细胞实验新方案

膜蛋白,尤其是多穿膜蛋白如GPCR家族、离子通道蛋白等,在膜运输、信号转导、细胞稳态和能量代谢等生理过程中扮演重要角色。尽管这些蛋白质非常重要,但由于其存在多个疏水区,如何获得稳定且不聚集的天然构象膜蛋白仍然是其靶向药开发的一大难点。去垢剂是全长膜蛋白表达纯化最早解决方案。去垢剂是一类两亲性分子,具有疏水端和亲水端,可以将磷脂中的膜蛋白替换出来,从而实现膜蛋白可溶。但去垢剂本身具有毒性,其存在会损害膜蛋白的结构与活性,同时也限制了膜蛋白的下游应用。基于此,研究人员又进一步开发了去垢剂的替代方案-纳米圆盘Nanodisc。Nanodisc因固定膜蛋白支架材料不同亦可进一步分为:Synthetic Nanodisc和MSP Nanodisc。二者因含有磷脂双脂膜会非特异性与细胞膜融合,故而不推荐用于下游细胞实验。

从应用的角度出发,缔码生物经过多次尝试,开发了一种无需使用去污剂即可稳定膜蛋白的简单方法,PeptiNanodisc。PeptiNanodisc,顾名思义,是利用特殊肽段包裹住膜蛋白的疏水部分(类似于肽盘),从而保护其不受水溶液的影响。由于不存在磷脂和去垢剂,利用PeptiNanodisc平台表达出的膜蛋白可以用于细胞实验。而且,理论上肽盘可以像‘通用支架’一样,适用于各种膜蛋白,不受蛋白大小限制。

PeptiNanodisc优势

  • 解锁细胞实验应用场景(CAR阳性率检测等),弥补Nanodisc一大缺陷
  • 经ELISA验证蛋白功能活性,具有高效活性
  • 产品性能稳定,可冻干发货
  • 除常规蛋白外,还同步开发荧光标记蛋白,如FITC标记

PeptiNanodisc验证数据

1、CAR阳性率检测应用场景数据

CAR阳性率是评价CAR-T产品有效性作的关键指标,其数量和比例尤为重要。无论是临床前还是临床应用阶段,CAR阳性率的检测都是CAR-T重要的质量控制基石。针对不同的CAR结构部分,目前检测CAR阳性率的方法包括Protein L、Anti-Fab抗体、抗独特型抗体、靶点蛋白和抗G4S Linker抗体。其中,靶点蛋白是特异性最高,可同步评估CAR与靶标结合能力的方法。想用功能性全长膜蛋白检测CAR阳性率,PeptiNanodisc是最佳选择。

不同方法检测CLDN18.2 CAR阳性率对比

CLDN18.2 PeptiNanodisc
Protein L-647
G4S-PE

结果表明:CLDN18.2 PeptiNanodisc (FLP420014)检测CLDN18.2CAR阳性率结果与阳性参照(Protein L-647和G4S-PE检测)效率相当,由于CLDN18.2 PeptiNanodisc是通过抗原抗体特异性与CLDN18.2 CAR结合,是检测方法中特异性最高的一种,所以,PeptiNanodisc可作为对应膜蛋白靶点CAR阳性率检测的最佳方案。

不同方法检测GPRC5D CAR阳性率对比

GPRC5D PeptiNanodisc

G4S-PE

结果表明:GPRC5D PeptiNanodisc (FLP400011)检测GPRC5D CAR阳性率与G4S-PE检测方法效果相当。

2、荧光标记PeptiNanodisc验证数据

标记PeptiNanodisc,顾名思义,指的是带标记的PeptiNanodisc全长膜蛋白。不同于传统的标记蛋白,标记PeptiNanodisc是通过先标记后组装的方式,将biotin以及FITC等小分子直接偶联在多肽上,然后进行PeptiNanodisc的组装,从而得到biotin或荧光标记的膜蛋白。

CLDN18.2 PeptiNanodisc-FITC检测CLDN18.2 CAR

G4S-PE检测CLDN18.2 CAR

结果表明:FITC标记CLDN18.2 peptiNanodisc检测CLDN18.2 CAR阳性率与G4S-PE方法检测结果相当,且无需荧光二抗,操作更方便。

3、稳定性数据

CLDN6-Strep PeptiNanodisc冻干及保存稳定性检测

利用功能ELISA分别检测液体状态和冻干粉状态下CLDN6 PeptiNanodisc (FLP420008)与CLDN6抗体结合活性,结果显示EC50并无显著差异。

利用功能ELISA检测CLDN6 PeptiNanodisc分别在-20℃、37℃ 24h、37℃ 48h、37℃ 72h条件下,其与CLDN6抗体结合活性,结果显示EC50并无显著差异。

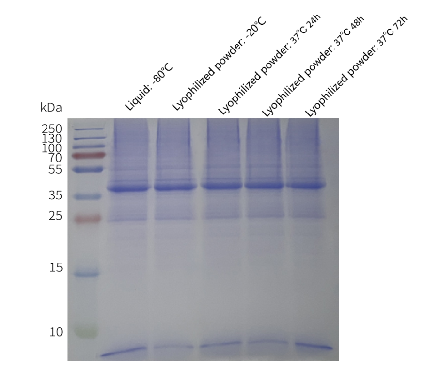
SDS-PAGE分析发现:不同条件下(-80℃液体状态、-20℃冻干粉状态及冻干粉状态37℃分别放置24h、48h、72h),CLDN6 PeptiNanodisc呈现的条带位置及丰度无明显差异。

GPRC5D PeptiNanodisc冻干及保存稳定性检测

利用功能ELISA分别检测液体状态和冻干粉状态下GPRC5D PeptiNanodisc与GPRC5D抗体结合活性,结果显示EC50并无显著差异。

利用功能ELISA检测GPRC5D PeptiNanodisc分别在-20℃、37℃ 24h、37℃ 48h、37℃ 72h条件下,其与GPRC5D抗体结合活性,结果显示EC50并无显著差异。

SDS-PAGE分析发现:不同条件下(-80℃液体状态、-20℃冻干粉状态及冻干粉状态37℃分别放置24h、48h、72h),GPRC5D PeptiNanodisc条带位置及丰度无明显差异。

PeptiNanodisc产品

Full Length Transmembrane Proteins

Human GPRC5D full length protein-PeptiNanodisc

SKU:  FLP400011     Target:  GPRC5D     Tag:  C-Flag Tag

Price:10 μg ¥7000.00 ;50 μg ¥33000.00 ; 100 μg ¥60500.00

Full Length Transmembrane Proteins

Human CLDN6-Strep full length protein-PeptiNanodisc

SKU:  FLP420008     Target:  CLDN6     Tag:  C-Flag&Strep Tag

Price:10 μg ¥6300.00 ;50 μg ¥29700.00 ; 100 μg ¥54500.00

Full Length Transmembrane Proteins

Human CLDN18.2-Strep full length protein-PeptiNanodisc

SKU:  FLP420014     Target:  CLDN18.2     Tag:  C-Flag&Strep Tag

Price:10 μg ¥6300.00 ;50 μg ¥29700.00 ; 100 μg ¥54500.00

PeptiNanodisc定制服务