| Clone ID | OTI1C4 (formerly 1C4) |
|---|---|
| Target | |
| Synonyms | N/A |
| Host Species | Mouse |
| Description | Carrier-free (BSA/glycerol-free) Mouse monoclonal DsRed-Express2 antibody, clone OTI1C4 |
| Delivery | 3-4week |
| Uniprot ID | N/A |
| IgG type | IgG2b |
| Clonality | Monoclonal |
| Reactivity | N/A |
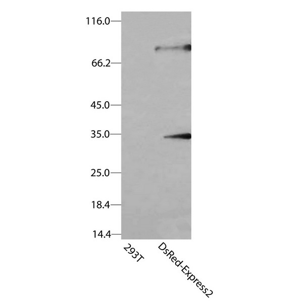
| Applications | WB |
| Recommended Dilutions | WB: 1:2000 |
| Purification | N/A |
| Endotoxin | Less than 1.0 EU/μg by the LAL method. For <1 EU/mg requirements, please contact us for customization. |
| Formulation & Reconstitution | Lyophilized powder (original buffer 1X PBS, pH 7.3, 8% trehalose) |
| Storage&Shipping | Store at -20°C. |
| Sterility | Products are supplied non-sterile. For cell culture applications, dilute in appropriate medium and sterile-filter (0.22 µm) prior to use. |
| Background | N/A |
| Usage | Research use only |
| Conjugate | Unconjugated |
服务热线
400-006-0995
18062749453



